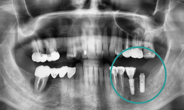
컴퓨터 분석 임플란트
3D 모의수술을 통한 정확성 UP!
-
-
3D CT, 구강 스캐너 등 디지털 정밀 진단을 접목한 모의 수술로 사전에 잇몸뼈, 신경, 보철 등을
모두 고려하여 식립 위치를 결정하여 개개인에게 맞는 수술 유도 장치를 제작하는 방법입니다.DIGITAL IMPLANT
컴퓨터 분석 임플란트의 특별함
-
골조직, 신경 위치 자세히 분석 가능
-
최적의 임플란트 위치 선정 가능
-
빠르고 편리한 진료 과정
-
출혈, 통증, 붓기가 적은 최소 절개 시술로 빠른 회복
-
컴퓨터 분석 임플란트 수술을 위한 가이드를 원장이 직접 디자인하고 제작합니다.
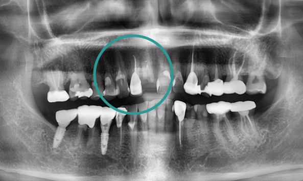
본래 내 치아처럼,
자연스러운 앞니 임플란트
임플란트의 안정성과 심미적인 부분을
모두 고려해야 하는 앞니 임플란트!
어금니보다 공간이 좁고 뼈가 얇기 때문에
정확한 각도와 방향으로 식립 되어야 합니다.
고난도 과정인 앞니 임플란트!
심미와 안정성 모두 약속드립니다.
- 23.08

* 임플란트 시술 시 교합이상, 신경손상, 염증 등의 부작용이 발생할 수 있습니다.
* 개인의 구강 및 치아상태에 따라 치료방법과 수가가 변동될 수 있습니다.
* 해당 사례는 의료법 제56조 2항을 준수하여 작성되었습니다.
* 본원에서 진료받은 환자이며 전후 사진의 인물이 동일인임을 밝힙니다.
올디플란트치과의
앞니 임플란트 솔루션
저작 기능과 심미성을 고려한 앞니 임플란트 솔루션
-
정밀한 잇몸뼈 상태 확인
앞니 임플란트를 진행하려는 부위에 잇몸뼈가 퇴축되어 있다면 심미적인 문제가 발생할 수 있습니다. 이런 경우, 시술 전 잇몸뼈 이식 수술로 잇몸뼈를 보강한 후 임플란트를 진행해야 합니다.
-
자연스러운 보철물 제작
치아 보철물에는 다양한 종류가 있습니다. 내부에 메탈이 포함된 보철물과 투명도가 높은 보철물이 있으며, 심미성에 차이가 있는 만큼 환자의 특성과 필요에 맞는 보철물을 선택합니다.
-
당일 수술 후 임시보철물 완성
앞니는 심미적인 요인과 연결되는 만큼 당일 수술 후 원내에서 바로 임시보철물을 제작하여 일상생활 하실 때 문제 없으시도록 도와드립니다.

-
건강보험 임플란트 부담없이 치료 받으세요.
건강보험 혜택을 받는 만 65세 이상 어르신이라면 본인부담금 30%로 임플란트를 진행할 수 있습니다. (1인당 평생 2개/본인부담금 30%)
-
-
건강보험 임플란트도 세계 1위 스트라우만 그룹의 프랑스 임플란트 ‘앤서지’ 사용
30여년 동안 치과 임플란트 전문 연구 67개가 넘는 유효특허 보유한 프리미엄 수입 임플란트를 사용합니다.
빠르고 정교하게!
바쁜 현대인을 위한
원데이 임플란트
환자가 원한다면 발치 즉시 임플란트를 식립하여
잇몸뼈 소실을 줄일 수 있습니다.
임플란트 식립, 임시 보철물 제작까지
단 하루만에 가능합니다.
※케이스에 따라 식립기간은 달라질 수 있습니다.
- 23.06

- 24.01

* 임플란트 시술 시 교합이상, 신경손상, 염증 등의 부작용이 발생할 수 있습니다.
* 개인의 구강 및 치아상태에 따라 치료방법과 수가가 변동될 수 있습니다.
* 해당 사례는 의료법 제56조 2항을 준수하여 작성되었습니다.
* 본원에서 진료받은 환자이며 전후 사진의 인물이 동일인임을 밝힙니다.
원데이 임플란트가
가능한 이유!
-
대학병원 수준의 디지털 장비 보유
트리오스 구강 스캐너 프라임스캔 구강 스캐너 3D 프린터 및 밀링 기계 사용하여 당일 보철을 제작합니다.
-
원내 가이드 직접 제작
원장이 직접 수술용 가이드를 제작하여 수술 당일 보철의 적합도를 증가 시킵니다.
-
원데이 임플란트가 가능한 보철
원데이 임플란트 보철에 가장 최적화된 하이니스 보철 시스템을 사용합니다.

-
시멘트를 사용하지 않는! 하이니스 임플란트 보철
하이니스 임플란트는
대한민국 1위 프리미엄 보철 브랜드입니다. 크라운의 퀄리티와 식립 시에도
사후까지 고려한 방식으로 진행하며, 이는 재수술의 원인이 되는
임플란트 주위염, 보철물 파절등이 발생하지 않아 오래가는 임플란트로 이어집니다.
전 과정 디지털화로 빠르고 정확성 UP!
시멘트를 사용하지 않는 식립방식
2중 안전구조로 용이한 사후관리
임플란트 부작용 가능성 감소
여러 원인으로 발생되는
임플란트 재수술
임플란트 환자 10명 중 1~2명은 재수술을 경험합니다.
임플란트는 시술 후 문제가 없다면
오래 사용할 수 있지만, 염증이나 부작용 등 다양한 요인으로 인해
재수술이 필요할 수 있습니다.
올디플란트치과는 정밀한 분석을 통해
근본적인 원인을 파악하고, 기존 임플란트를 살리거나 필요한 경우
재수술을 진행합니다.
- 24.10

* 임플란트 시술 시 교합이상, 신경손상, 염증 등의 부작용이 발생할 수 있습니다.
* 개인의 구강 및 치아상태에 따라 치료방법과 수가가 변동될 수 있습니다.
임플란트 재수술,
이렇게 진행됩니다.
-
01
문제 확인 및 검사
기존 임플란트 실패 원인을 파악하여 남아 있는 뼈 상태를 철저히 평가합니다.
-
02
뼈상태 평가 및 뼈이식고려
기존 임플란트 제거 후 뼈 이식을 진행하면 더욱 견고한 재수술이 가능합니다.
-
03
수술 및 예방관리
재수술 후 감염 가능성이 더 크기 때문에 철저한 예방관리가 이루어 집니다.
올디플란트치과의 임플란트
임플란트 성공을 위한 저희의 진심된
노력과 열정을 전달 드리겠습니다.
-
수술 전 계획과 수술 후 관리에 더 신경쓰고 있습니다.
-
프리미엄 정품 임플란트만 사용 [스트라우만, 앤서지, 오스템]
-
플라즈마 표면처리를 통하여 임플란트와 잇몸뼈의 결합력을 증가시킴
-
PDRN 재생주사 적용하여 잇몸의 재생력 증가
-
원장이 직접 디자인하고 제작하는 가이드를 활용하여 정교한 식립
-
당일 수술 후 임시 보철까지 완성 가능한 원데이 기술력






