일반 임플란트와는
퀄리티가 다릅니다.
기존 틀니에 디지털을 더한
풀아치 임플란트
자주 떨어지는 틀니사용 힘들지 않으셨나요? 단, 4~6개 식립만으로 전체 치아 기능 회복이 가능합니다.

자연치아의 회복력을 갖는 풀아치 임플란트 특별함
-
정밀함
모든 과정 디지털 시스템
-
치료기간 단축
수술 당일 보철물 장착
-
안정성
높은 안정성을 입증한 시스템
-
비용 절감
적은 개수로 전악 임플란트 가능
-
빠른 제작
편안한 보철을 빠르게!
-
편리함
예후가 좋은 재료로 관리 / 세척에 용이
올디플란트치과는
전체 임플란트에
특화된 치과입니다.
전체 임플란트는 치료 범위가 넓고 복잡한 수술이므로,
풍부한 임상 경험을 갖춘 의료진의 노하우와
철저한 치료 계획이 필수적입니다.
특히, 정확한 교합에 대한 이해와
섬세한 기술력이 성공적인 치료의 핵심입니다.
-
01
전체 임플란트 수술을 위해 첨단 의료장비를 갖추고 있습니다.
3D CT와 3D 구강 스캐너를 활용해
치료 계획부터 보철물 제작까지
디지털 방식으로 진행하며, 수술 오차를 최소화하고 모의 수술로 안전성을 높입니다.
또한, 내원 횟수를 줄여 환자의 편의를 극대화합니다.-
3D CT 촬영을 통한 정밀한 검진
-
가이드 제작을 위한 구강스캐너 사용
-
임플란트 식립 가이드를 원장이 직접 디자인 후 제작
-
-
02
통증을 낮추고 내원 횟수를 줄이는
디지털 기술력을 제공합니다.절개를 최소화한 임플란트 수술로
통증을 줄이고 회복을 빠르게 하며,
모의 수술을 통해 정확하고 안전한 시술을 보장합니다.-
적은 절개 방식의 임플란트 수술
기존 수술법은 잇몸 절개 범위가 넓어 출혈과 통증으로 특히 고령 환자에게 부담이 될 수 있습니다. 본원은 작은 구멍을 통해 임플란트를 식립함으로써 출혈과 통증을 최소화하고,환자의 편안한 치료를 위해 최선을 다합니다.
-
컴퓨터 분석을 활용한 가이드 식립
수술 전 컴퓨터 모의 수술과 가이드 제작을 통해 정확하고 안정적인 임플란트 시술을 제공합니다. 디지털 첨단 기술로 환자에게 최적화된 치료를 실현합니다.
-
-
03
풍부한 임상 경험을 바탕으로
수준 높은 치료를 제공합니다.전체 임플란트는 수술실력 뿐만 아니라
전체 교합 및 전체 보철에 대한 높은 이해가 필요한 분야입니다. -
-
04
명품으로 불리우는
프리미엄 임플란트만을 사용합니다.수술 이후 오래 사용해야하는 임플란트인 만큼 아무 임플란트를 사용하지 않습니다. 우수성을 인정받고 전세계적으로 유명한 브랜드 정품만을 사용합니다.
-
세계 점유율 1위 스트라우만
-
세계 점유율 1위 앤서지 임플란트
-
국내 점유율 1위 오스템 임플란트
-

-
시멘트를 사용하지 않는! 하이니스 임플란트 보철
하이니스 임플란트는
대한민국 1위 프리미엄 보철 브랜드입니다. 크라운의 퀄리티와 식립 시에도
사후까지 고려한 방식으로 진행하며, 이는 재수술의 원인이 되는
임플란트 주위염, 보철물 파절등이 발생하지 않아 오래가는 임플란트로 이어집니다.
05
결과로 보여드리는 의료진의 노하우
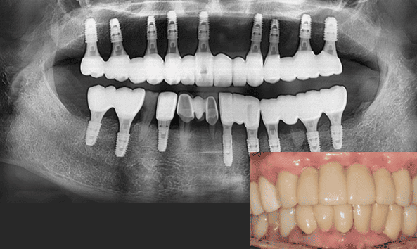
- 24.12

* 임플란트 시술 시 교합이상, 신경손상, 염증 등의 부작용이 발생할 수 있습니다.
* 개인의 구강 및 치아상태에 따라 치료방법과 수가가 변동될 수 있습니다.
* 해당 사례는 의료법 제56조 2항을 준수하여 작성되었습니다.
* 본원에서 진료받은 환자이며 전후 사진의 인물이 동일인임을 밝힙니다.
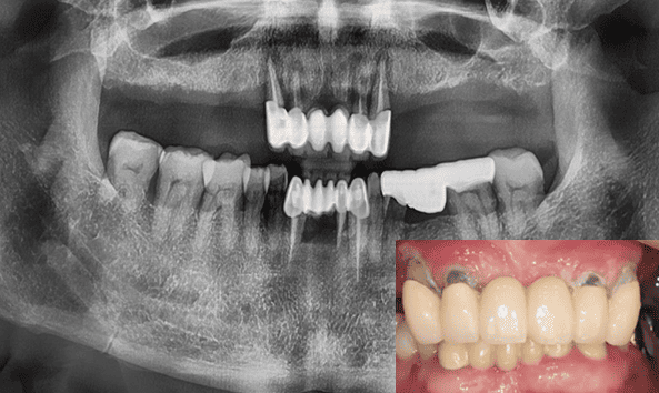
- 24.07

* 임플란트 시술 시 교합이상, 신경손상, 염증 등의 부작용이 발생할 수 있습니다.
* 개인의 구강 및 치아상태에 따라 치료방법과 수가가 변동될 수 있습니다.
* 해당 사례는 의료법 제56조 2항을 준수하여 작성되었습니다.
* 본원에서 진료받은 환자이며 전후 사진의 인물이 동일인임을 밝힙니다.
임플란트 틀니 선택의 기준
-

-
틀니를 오랫동안 사용하면 잇몸뼈가 지속적으로 흡수 되기 때문에 점점 헐거워지는
불편함을 겪을 수 있습니다. 또한 잇몸뼈가 줄어들게 되면
턱과 코의 주변 공간이 줄어들고 입술이 평평해지며 노화되어 보이기도 합니다. 틀니 사용이 어렵지만
전체 임플란트 수술과 비용이 부담스러운 경우 수술 시간, 통증, 비용이 훨씬 적은 임플란트 틀니를 권해드립니다.
![]() |
구분 |
![]() |
기존 틀니 |
사용 방식 |
임플란트 틀니 |
약함 (접착제) |
고정력 |
단단함 (빠지지 않음) |
자연치아의 40% |
씹는 힘 |
자연치아의 90% |
잇몸뼈 흡수로 주기적 관리 |
관리 |
자연치아 관리와 유사 |
턱뼈가 흡수됨 |
장기간 후 |
턱뼈가 유지됨 |
제한적 |
섭취 음식 |
자연치열과 비슷 |
입 안에서 움직임 |
움직임 |
입 안에서 |
일반틀니 + 임플란트 틀니
전체 임플란트 + 임플란트 틀니
- 23.10

* 임플란트 시술 시 교합이상, 신경손상, 염증 등의 부작용이 발생할 수 있습니다.
* 개인의 구강 및 치아상태에 따라 치료방법과 수가가 변동될 수 있습니다.
* 해당 사례는 의료법 제56조 2항을 준수하여 작성되었습니다.
* 본원에서 진료받은 환자이며 전후 사진의 인물이 동일인임을 밝힙니다.
올디플란트치과의 임플란트
임플란트 성공을 위한 저희의 진심된
노력과 열정을 전달 드리겠습니다.
-
수술 전 계획과 수술 후 관리에 더 신경쓰고 있습니다.
-
프리미엄 정품 임플란트만 사용 [스트라우만, 앤서지, 오스템]
-
플라즈마 표면처리를 통하여 임플란트와 잇몸뼈의 결합력을 증가시킴
-
PDRN 재생주사 적용하여 잇몸의 재생력 증가
-
원장이 직접 디자인하고 제작하는 가이드를 활용하여 정교한 식립
-
당일 수술 후 임시 보철까지 완성 가능한 원데이 기술력







