단순 치아교정이 아닌
티 안나게 예뻐지는
매직얼라인 투명교정
-
치아교정 할래요?
-
투명교정 할래요!
매직얼라인 투명교정의 특별함

-
치료결과를 향상시키기 위한 정기 모니터링 시스템
매직얼라인 투명교정은
치료 결과를 향상시키기 위해 노력합니다. 정기적으로 치아이동 계획과 실제로 변화한 치아 상태를 점검하여 치과에 분석자료를 제공하고 분석 자료를 반영한 맞춤형 장치를 제작합니다.

-
치아 방향만 바꾸는 단순한 투명교정이 아닙니다.
매직얼라인 교정 치료를 위해서
부착되는 Attachment는 교정장치가 올바른 방향으로 적절한 힘을 치아에 가할 수 있는 손잡이와 같은 역할을 합니다.

-
교정 시작 전 확인할 수 있는 전체 교정 과정
하이니스 임플란트는
대한민국 1위 프리미엄 보철 브랜드입니다. 매직뷰어 소프트웨어를 통해 첫번째 교정장치를 착용했을 때 부터 교정이 완료될 때까지의 모든 과정을 확인할 수 있습니다.
-
-
나에게 맞춤 디자인, 라미네이트
치아의 바깥면에 매우 소량만 다듬고
나서 얇은 포세린 판을 부착하여 반영구적으로 붙여서 사용하는 것을 말합니다. 모양과 색상을 자연스럽고 이상적인 형태로 재현해 낼 수 있으며, 단기간에 치료가 끝나기 때문에 만족도가 매우 높은치료입니다.
올디 라미네이트 특별함
-
적은 삭제량으로 자연치아 보존
적은 삭제량으로 자연치아를 보존하며 시술합니다.
-
라미네이트 미리 확인!
구강 스캐너를 통한 스캔본 데이터로 확인용 라미네이트를 먼저 확인 후 최종 라미네이트 제작이 가능합니다.
-
빛의 반사까지 생각한 쉐이드
한층 한층 쌓아 올리는 레이어 쉐이드를 손수 작업하여 자연치아와 거의 유사한 치아색상을 재현합니다.
다양한 라미네이트
시술 경험 다수.
라미네이트,
이제 강남으로 갈 필요가 없습니다.
- 24.09

* 심미보철 시술 시 개인에 따라 부작용이 발생할 수 있습니다.
* 개인의 구강 및 치아상태에 따라 치료방법과 수가가 변동될 수 있습니다.
* 해당 사례는 의료법 제56조 2항을 준수하여 작성되었습니다.
* 본원에서 진료받은 환자이며 전후 사진의 인물이 동일인임을 밝힙니다.
-
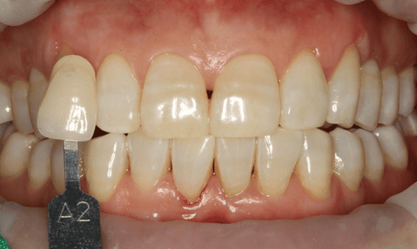
변색된 치아를 되돌리다 치아미백
단계별 빛 조절이 가능한 화이트닝 시스템을 갖추고 있으며, 식약청 허가를 받은 재료만을 사용합니다. 또한,치아 전반에 걸친 통합 심미치료가 가능하며 더욱 효과적인 미백 효과를 기대할 수 있습니다.
-
이젠 자신 있게 웃자 치아미백, 직접 확인해보세요!
- 24.09

* 심미보철 시술 시 개인에 따라 부작용이 발생할 수 있습니다.
* 개인의 구강 및 치아상태에 따라 치료방법과 수가가 변동될 수 있습니다.
* 해당 사례는 의료법 제56조 2항을 준수하여 작성되었습니다.
* 본원에서 진료받은 환자이며 전후 사진의 인물이 동일인임을 밝힙니다.
-
-
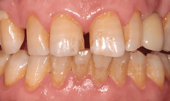
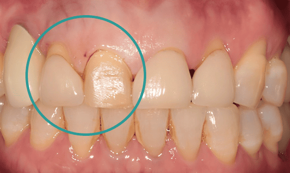
인상을 좌우하는 앞니, 앞니 레진으로 건강한 치료
앞니가 깨졌거나, 벌어졌거나, 충치가 생긴 경우 손상된 치아를 기능적으로 복원하는 동시에 심미적인 아름다움까지 고려한 치료가 필요합니다.
앞니를 티 안나고 예쁘게 복원해드립니다.
- 24.12

* 심미보철 시술 시 개인에 따라 부작용이 발생할 수 있습니다.
* 개인의 구강 및 치아상태에 따라 치료방법과 수가가 변동될 수 있습니다.
* 해당 사례는 의료법 제56조 2항을 준수하여 작성되었습니다.
* 본원에서 진료받은 환자이며 전후 사진의 인물이 동일인임을 밝힙니다.
-
내 얼굴에 맞는 스마일라인 잇몸성형으로 찾아드립니다.
웃을 때 잇몸이 과하게 드러나거나 돌출되어 불편함을 느끼셨던 적이 있으신가요? 비대칭적이거나 심미적으로 아쉬운 잇몸을 자연스럽고 균형 있게 다듬어드립니다.
-
올디플란트치과의 잇몸성형 케이스를 만나보세요!
- 24.11

* 심미보철 시술 시 개인에 따라 부작용이 발생할 수 있습니다.
* 개인의 구강 및 치아상태에 따라 치료방법과 수가가 변동될 수 있습니다.
* 해당 사례는 의료법 제56조 2항을 준수하여 작성되었습니다.
* 본원에서 진료받은 환자이며 전후 사진의 인물이 동일인임을 밝힙니다.




