올디플란트치과의
특별한 스케일링
스케일링 꼭 해야하나요?
치아에 남아있는 음식물 찌꺼기나 치태, 세균 덩어리들이 타액 성분과 결합하면 치아와 잇몸 사이에 돌처럼 굳어지는 치석이 생기며, 치석은 잇몸질환, 충치를 유발하는 원인으로 제거해야 합니다.
-
통증완화를 위한 가글 마취 진행
-
명품 독일 카보사의 소니플렉스 스케일러 사용
-
숙련된 스텝의 스케일링 능력
올디플란트치과의 스케일링은 가글마취를 필수로 하고 있으며, 명품 독일 카보사의 소닉플렉스 스케일러를 도입하여 시리지 않고 편안한 스케일링을 도와드립니다.
-
-
올디플란트치과는 자연치아를 소중히 생각합니다.
충치는 흔한 질환이지만 스스로 회복되지 않습니다. 통증이 있어도 치료를 미루다 보면 적절한 시기를 놓쳐 더 많은 비용과 시간이 들 수 있습니다. 정기적인 구강검진으로 문제를 조기에 발견하고 신속히 치료받는 것이 건강을 지키는 가장 현명한 방법입니다.
단계별 충치치료를 통해
최선의 진료를 찾고
자연치아를 최대한 보존합니다.
-
법랑질 충치
치아 겉면인
법랑질의 충치로 통증이 거의 없습니다.레진치료
-
상아질 충치
법랑질 안쪽에 있는 상아질까지 충치가 진행되어 뜨겁거나 차가운 음식을 먹으면 시린 증상이 나타납니다.
인레이
-
치수염 충치
상아질 안쪽 신경까지 염증이 진행되어 극심한 통증으로 참기 어려운
정도가 됩니다.신경치료 + 크라운
-
치주 괴사
치아 내부에 있는 조직이 괴사되고, 뿌리 주변의
염증으로 인하여 뼈가 점차 소실됩니다.발치 + 임플란트
- 24.05

* 충치치료 시 개인에 따라 부작용이 발생할 수 있습니다.
* 개인의 구강 및 치아상태에 따라 치료방법과 수가가 변동될 수 있습니다.
* 해당 사례는 의료법 제56조 2항을 준수하여 작성되었습니다.
* 본원에서 진료받은 환자이며 전후 사진의 인물이 동일인임을 밝힙니다.
-
-
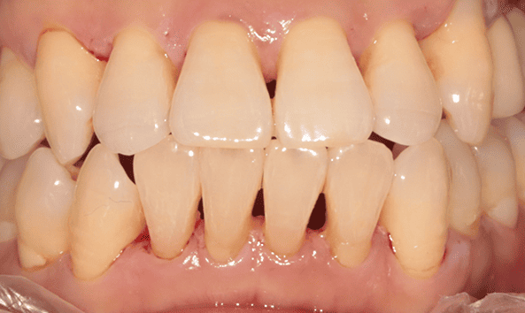
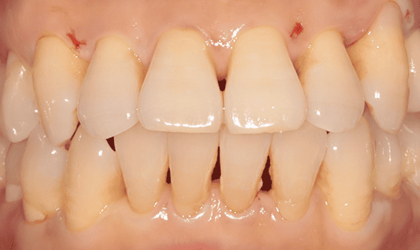
붓고 피나는 잇몸을 건강하게 잇몸치료로 회복하세요!
건강한 치아는 건강한 잇몸이 있기에 존재합니다. 성인의 절반 이상이 잇몸 질환을 모르고 방치하고 있습니다. 잇몸질환, 꾸준한 관리를 통해 개선해드리겠습니다.
잇몸 질환 치료에는 비수술적 치료와 수술적 치료 방법이 있습니다.
-
건강한 잇몸
치주낭 길이 3mm 이하
스케일링 치료
-
치은염
치주낭 길이 3~5mm 이하
치근활택술 치료
-
초기 치주염
치주낭 길이 5~7mm 이하
치주소파술 치료
-
중기 치주염
치주낭 길이 7mm 이상
치주 수술
- 24.12

* 잇몸치료 시 개인에 따라 부작용이 발생할 수 있습니다.
* 개인의 구강 및 치아상태에 따라 치료방법과 수가가 변동될 수 있습니다.
* 해당 사례는 의료법 제56조 2항을 준수하여 작성되었습니다.
* 본원에서 진료받은 환자이며 전후 사진의 인물이 동일인임을 밝힙니다.
-
-
신경치료는 자연치아를 살리는 방법입니다.
신경치료는 충치나 외상 등으로 인해 치아 신경이 자가 치유되지 않거나 괴사되었을 때 시행하는 치료입니다. 치아를 보존해 제 기능을 할 수 있도록
신경 조직을 완전히 제거하고, 대체 약물을 채워 넣는 정교하고 난이도 높은 치료법입니다.
신경치료 진행 단계
-
건강한 잇몸
치주낭 길이 3mm 이하
스케일링 치료
-
치은염
치주낭 길이 3~5mm 이하
치근활택술 치료
-
초기 치주염
치주낭 길이 5~7mm 이하
치주소파술 치료
-
중기 치주염
치주낭 길이 7mm 이상
치주 수술
신경치료는 치아에 구멍을 뚫어 신경을 제거한 후 특수 물질을 채워넣는 시술로 매우 정밀한 치료입니다.
- 24.12

* 잇몸치료 시 개인에 따라 부작용이 발생할 수 있습니다.
* 개인의 구강 및 치아상태에 따라 치료방법과 수가가 변동될 수 있습니다.
* 해당 사례는 의료법 제56조 2항을 준수하여 작성되었습니다.
* 본원에서 진료받은 환자이며 전후 사진의 인물이 동일인임을 밝힙니다.
-
-
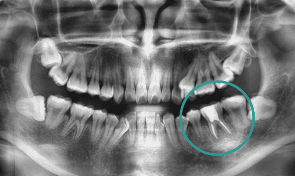
골치 아픈 사랑니, 대학병원 가지 않으셔도 됩니다.
사랑니는 기형적으로 맹출되거나
잇몸 속에 매복되는 경우가 많아 발치가 까다로울 수 있습니다.
특히, 인접 치아를 손상시키지 않고 신경을 보호하며 발치하려면
전문적인 노하우가 필수입니다. 그래서 사랑니 발치는 많은 고민과 망설임을 동반하는
어려운 선택이 될 수 있습니다. 올디플란트치과는 이런 걱정을 덜어드릴 자신이 있습니다.
사랑니 발치를 위해 치과를 찾아 헤매고 계신가요?
매복 사랑니는 신경과 가까워 발치 시
신경 손상의 위험이 높아
일부 동네 치과에서는 치료를 권하지 않기도 합니다.
하지만 올디플란트치과는
대학병원 가기 전에 방문하는 치과로 유명하며,
타원에서 발치하지 못한 케이스도
책임지고 해결해드리고 있습니다.
- 24.04

* 잇몸치료 시 개인에 따라 부작용이 발생할 수 있습니다.
* 개인의 구강 및 치아상태에 따라 치료방법과 수가가 변동될 수 있습니다.
* 해당 사례는 의료법 제56조 2항을 준수하여 작성되었습니다.
* 본원에서 진료받은 환자이며 전후 사진의 인물이 동일인임을 밝힙니다.





